El cáncer cerebral es en realidad un tipo extremadamente raro. Cuando la persona o las personas padecen cáncer cerebral, a menudo es un caso en el que el cáncer se ha diseminado desde otra parte del cuerpo. No obstante, se han presentado bastantes casos en los que el crecimiento del cáncer se originó en el cerebro mismo.

En este artículo examinaremos distintos aspectos del cáncer cerebral con más detalle.

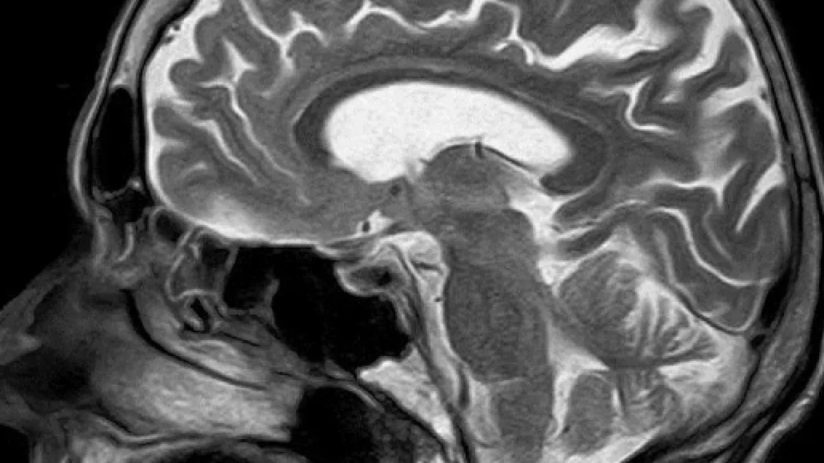
¿Qué es el cáncer de cerebro?

Se dice que una persona tiene un tumor en el cerebro cuando hay un incremento canceroso dentro del cerebro. El tumor maligno de un cáncer de cerebro afectará algunas funciones del cerebro, según el lugar donde se encuentre.

El Instituto Nacional del Cáncer pronosticó que aproximadamente 20.000 personas son diagnosticados con cáncer cerebral por año. La tasa de incidencia es bastante baja cuando, en comparación con otros tipos de cánceres comunes, como los cánceres de pulmón y de mama, se sabe que más de 200. 000 ciudadanos son diagnosticados cada año.

¿Cuáles son las causas del cáncer cerebral?

Las siguientes han sido designadas como posibles causas de cáncer en el cerebro. Los compuestos de alto riesgo como el benceno e incluso la gasolina están dentro de la causas que producen cáncer cerebral. Otros factores de riesgo que originan cáncer cerebral son el tabaquismo y la radiactividad. Debería haber varios libros que afirmen que los edulcorantes artificiales pueden causar cáncer cerebral, aunque la FDA anunció oficialmente que la absorción de edulcorantes artificiales no origina cáncer en el cerebro.

¿El teléfono celular tiene la capacidad de causar esta enfermedad?

Una gran investigación de más de 50,000 usuarios de teléfonos celulares en 2010 indicó que los teléfonos celulares no aumentan los riesgos de padecer cáncer de cerebro.

El estudio no fue tan extenso como para agregar que el empleo en "teléfonos celulares normales" no es una amenaza. Por lo tanto, las personas que invierten muchas horas en el teléfono deben tratar de reducir las conversación o al menos usar el teléfono en altavoz, para reducirá en gran medida la cantidad de nivel de radiactividad.

¿Cómo se trata el cáncer del cerebro?

La cirugía, la quimioterapia y la radioterapia son las formas más comunes de tratamiento para cáncer cerebral. Es probable que los médicos asignados a pacientes individuales utilicen los tres planes de estudios en combinación para tratar un tumor canceroso en el cerebro. Con frecuencia, se usa una cirugía para extirpar el cuerpo canceroso del cerebro en un procedimiento invasivo, mientras que la quimioterapia y la radioterapia se usan para eliminar cuerpos cancerosos en procedimientos no invasivos.