5 síntomas del coronavirus a los cuales prestar atención

Últimos síntomas del coronavirus: estudios recientes revelan que causa ACV.
Últimos síntomas del coronavirus: estudios recientes revelan que causa ACV.

Durante la pandemia se han realizado estudios que revelan nuevos síntomas del Covid-19, como lesiones en la piel, inflamaciones y hasta ACV.

revisado por Maribel Torres
No te pierdas las últimas noticias
Pincha en el tema que te interese para empezar a seguirlo. Te mantendremos actualizado con las últimas noticias que no te puedes perder.
Pincha para ver el vídeo
Blasting News

Médicos alrededor del mundo están alertando sobre la aparición de nuevos síntomas del coronavirus y los peligros de los mismos, además informan la importancia de su detección a tiempo y lo que pueden hacer los pacientes, antes de acudir a un centro de salud.

Estudios recientes sobre los síntomas del coronavirus alertan de casos con alucinaciones y convulsiones

Hasta ahora son más de dos millones de personas contagiadas y, ante la rápida propagación del virus, los médicos se han mantenido en una carrera contra reloj para determinar efectivamente los síntomas del Covid-19, que se presentan con mayor frecuencia.

Los estudios más recientes han revelado que en muchas ocasiones se han reportado casos con pacientes que experimentan pérdida del sentido del gusto y olfato, también alucinaciones y hasta convulsiones. También se han reportado casos en los cuales el enfermo presenta enrojecimiento en la piel, lesiones parecidas al sarampión e inflamación en las extremidades.

Dentro de los síntomas del coronavirus más conocidos se encuentran:

1

Fiebre, tos seca y dolor de garganta

Es importante recordar que estos síntomas no aparecen en el primer momento, llegan a tardar hasta 14 días, después del contagio.

Fiebre, tos seca y dolor de garganta
2

Cansancio, dolor de Cabeza, diarrea

Otro grupo de síntomas del coronavirus podrían aparecer en diferentes personas, llegando a ocasionar cansancio, diarrea, dolor de cabeza, goteos por la nariz y hasta vómitos.

Cansancio, dolor de Cabeza, diarrea
3

Manifestaciones cutáneas

Durante las últimas semanas, estudios realizados por dermatólogos de España, han revelado que pacientes infantiles y jóvenes con resultados positivos en las pruebas, han presentado lesiones en la piel y enrojecimiento, algo muy parecido al sarampión o urticaria; aunque estaban asintomáticos.

Manifestaciones cutáneas
4

Inflamación en extremidades

Estudios más recientes han informado que los síntomas del coronavirus, no solo atacan a los pulmones y el sistema respiratorio; sino que también pueden llegar a otras partes del cuerpo. Pudiendo afectar el corazón, la piel y hasta el cerebro. Aunque los casos registrados con inflamación de extremidades se han presentado en su mayoría en niños y adolescentes, también podrían aparecer en adultos.

Inflamación en extremidades
5

Pacientes con ACV y convulsiones

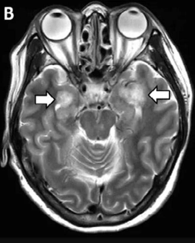
Estudios científicos revelan que la pérdida de los sentidos del olfato y el gusto son malas señales, ya que son considerados síntomas del coronavirus sospechosos. Pero además un porcentaje de pacientes con COVID-19 han presentado algunos problemas neurológicos, tales como los ACV y en algunos casos confusión mental.

Pacientes con ACV y convulsiones
Content sponsored by Outbrain