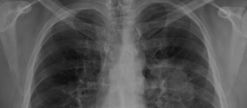
Un laboratorio clínico deberá indemnizar con unos 120.000 euros a una paciente debido a un diagnóstico médico equivocado de cáncer por lo cual a la mujer le extirparon un pulmón sin ser necesario. La Audiencia Provincial de la ciudad de Madrid ha condenado a dos médicos anatomopatólogos, junto al responsable médico del área de anatomía patológica del laboratorio por este hecho.

La paciente se sometió a quimioterapia y no la necesitaba

El laboratorio clínico indemnizará con la cantidad de 120.000 euros a la paciente a quien se le realizó una intervención quirúrgica para extirparle parte de un pulmón.

Además la mujer comenzó un tratamiento médico innecesario de quimioterapia, según informó el equipo de abogados de la denunciante a la agência EFE.

La Audiencia Provincial de Madrid ha condenado a los responsables de este diagnóstico erróneo por “negligencia médica” tras haber cometido un doble error en la evaluación de la paciente el pasado mes de abril de 2017, cuando calificaron el tumor de la mujer como “maligno y metastásico” cuando en realidad no lo era. Por este motivo, la paciente decidió demandar al laboratorio tras verse sometida a un diagnóstico equivocado de una enfermedad cancerígena que nunca ha sufrido. El laboratorio perdió la demanda ante este caso.

La paciente solicitó una segunda opinión médica con relación a su supuesta enfermedad de cáncer con las mismas muestras, las cuales fueron analizadas por el laboratorio clínico del Hospital La Paz y se terminó que el tumor no tenía características de malignidad y tampoco era metastásico.

De acuerdo a la sentencia, este error fue reconocido por el laboratorio, no obstante, no asumió las consecuencias de esta negligencia.

La defensa de la paciente estuvo a cargo del despacho de abogados MCP, el cual explicó que las compañías aseguradoras del laboratorio clínico y de los doctores habías rechazado un “acuerdo amistoso”, lo cual desencadenó una batalla judicial que derivó dos sentencias judiciales en su contra. La primera de ellas emitida por el Juzgado N° 3 de la región de Alcobendas y la segunda la dictada por la Audiencia Provincial de la ciudad de Madrid.

Los tres médicos demandados deberán pagar intereses de mora

Los demandados por este caso de negligencia médica deberán pagar a la mujer una indemnización legal por la cantidad de 118.957,82 euros, incluyendo los intereses de mora a causa de las secuelas físicas, los daños estéticos y las lesiones psicológicas provocadas en la paciente a causa de la intervención quirúrgica a la que fue sometida por extirpación parcial de un pulmón que finalmente fue considerada por los especialistas como innecesaria.